微信扫码搜题

当前位置:

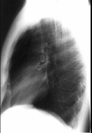
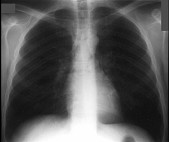
在哮喘急性发作的病程中患者出现颈部皮下气肿,胸片见图。说明此患者有下列哪一种并发症存在 ( ) HX-05051.jpg HX-05052.jpg

题型: 单选题 分类: 呼吸内科
  • A.纵隔气肿
  • B.肺大疱
  • C.间质性肺气肿
  • D.肺囊肿
  • E.气胸
备考星球小程序
关注【备考星球】小程序
移动端APP,让学习更便捷
提供搜题、在线问答、章节练习、历年真题
保存二维码图片,打开微信扫一扫
请输入手机号查看答案x

关注【备考星球】微信小程序

移动端 搜题、在线问答、章节练习、历年真题

  点击更换  更换验证码

Copyright © 菜鸟搜题 版权所有   沪ICP备18007868号
搜题网站、搜题软件、题库软件,请推荐菜鸟搜题