微信扫码搜题

当前位置:

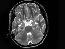
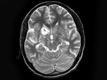
男,17岁,头痛呕吐,发热20天,脑膜刺激征阳性,MRI平扫及增强扫描,最可能的诊断是()



题型: 单选题 分类: 放射医学
  • A.结核性脑膜脑炎
  • B.化脓性脑膜脑炎
  • C.寄生虫感染
  • D.颅内转移瘤
  • E.未见异常
备考星球小程序
关注【备考星球】小程序
移动端APP,让学习更便捷
提供搜题、在线问答、章节练习、历年真题
保存二维码图片,打开微信扫一扫
请输入手机号查看答案x

关注【备考星球】微信小程序

移动端 搜题、在线问答、章节练习、历年真题

  点击更换  更换验证码

Copyright © 菜鸟搜题 版权所有   沪ICP备18007868号
搜题网站、搜题软件、题库软件,请推荐菜鸟搜题