微信扫码搜题

当前位置:

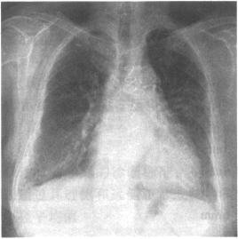
女性,46岁。呼吸困难入院,胸部X线平片如下图,右侧肋膈角区垂直于胸壁内侧面的线状影为   

题型: 单选题 分类: 392中级急诊医学
  • A.Kerley A线
  • B.Kerley B线
  • C.Kerley C线
  • D.盘状肺不张
  • E.胸腔积液
备考星球小程序
关注【备考星球】小程序
移动端APP,让学习更便捷
提供搜题、在线问答、章节练习、历年真题
保存二维码图片,打开微信扫一扫
请输入手机号查看答案x

关注【备考星球】微信小程序

移动端 搜题、在线问答、章节练习、历年真题

  点击更换  更换验证码

Copyright © 菜鸟搜题 版权所有   沪ICP备18007868号
搜题网站、搜题软件、题库软件,请推荐菜鸟搜题