微信扫码搜题

当前位置:

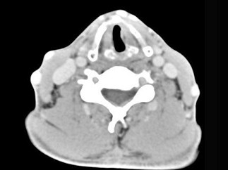
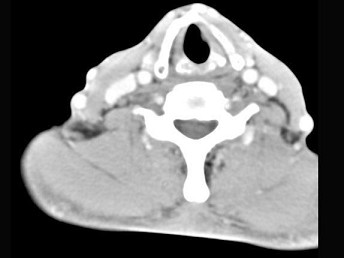
男,50岁,自觉咽喉部不适一个多月,间断刺激性咳嗽,CT扫描如图所示,正确的描述或诊断是 ( ) TJ-07321.jpg TJ-07322.jpg

题型: 多选题 分类: 053放射医学技术
  • A.左侧声带内侧壁见结节状影向腔内突出,以宽基底与声带相连
  • B.增强扫描结节强化不明显,密度均匀,周围结构未见受侵
  • C.左侧声带息肉
  • D.左侧声带乳头状瘤
  • E.喉癌
备考星球小程序
关注【备考星球】小程序
移动端APP,让学习更便捷
提供搜题、在线问答、章节练习、历年真题
保存二维码图片,打开微信扫一扫
请输入手机号查看答案x

关注【备考星球】微信小程序

移动端 搜题、在线问答、章节练习、历年真题

  点击更换  更换验证码

Copyright © 菜鸟搜题 版权所有   沪ICP备18007868号
搜题网站、搜题软件、题库软件,请推荐菜鸟搜题