微信扫码搜题

当前位置:

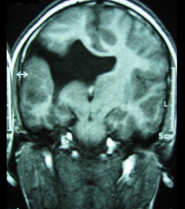
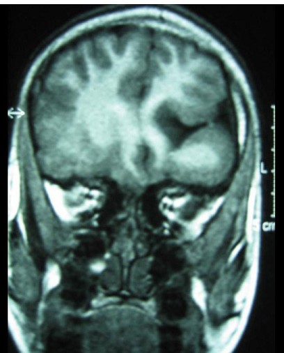
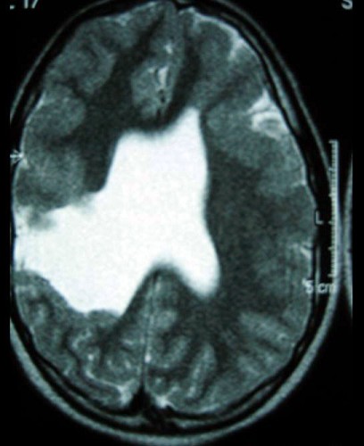
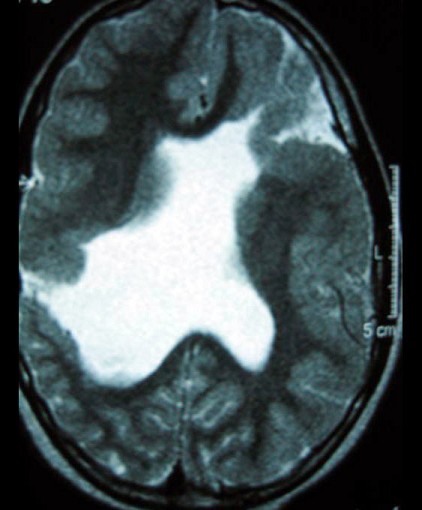
9岁男孩,有癫痫发作史,MR表现如图,首先考虑以下哪个疾病 ( ) TLC-00501.jpg TLC-00502.jpg TLC-00503.jpg TLC-00504.jpg

题型: 单选题 分类: 神经内科
  • A.胼胝体发育不全
  • B.脑灰质异位
  • C.Dandy-Walker综合征
  • D.脑裂畸形
  • E.无脑回畸形
备考星球小程序
关注【备考星球】小程序
移动端APP,让学习更便捷
提供搜题、在线问答、章节练习、历年真题
保存二维码图片,打开微信扫一扫
请输入手机号查看答案x

关注【备考星球】微信小程序

移动端 搜题、在线问答、章节练习、历年真题

  点击更换  更换验证码

Copyright © 菜鸟搜题 版权所有   沪ICP备18007868号
搜题网站、搜题软件、题库软件,请推荐菜鸟搜题