微信扫码搜题

当前位置:

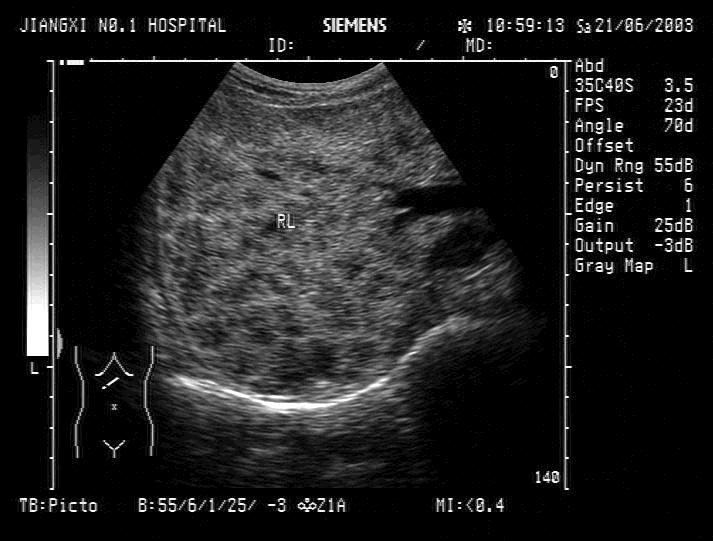
男,60岁,胆囊结石病史多年,脾大小正常,有疫区接触史。结合超声检查如图,诊断为 CF20160315_52.gif

题型: 单选题 分类: 054超声医学技术
  • A.肝血管瘤
  • B.血吸虫肝
  • C.肝癌
  • D.肝硬化
  • E.脂肪肝
备考星球小程序
关注【备考星球】小程序
移动端APP,让学习更便捷
提供搜题、在线问答、章节练习、历年真题
保存二维码图片,打开微信扫一扫
请输入手机号查看答案x

关注【备考星球】微信小程序

移动端 搜题、在线问答、章节练习、历年真题

  点击更换  更换验证码

Copyright © 菜鸟搜题 版权所有   沪ICP备18007868号
搜题网站、搜题软件、题库软件,请推荐菜鸟搜题