微信扫码搜题

当前位置:

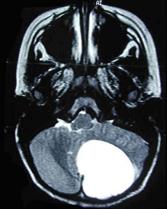
星形细胞瘤(如图所示)的特点 ( ) NSJ-1182.jpg

题型: 多选题 分类: 副高神经外科学
  • A.最常见的颅内胶质瘤
  • B.多见于大脑半球,界限清楚
  • C.中青年多见
  • D.儿童以小脑半球多发
  • E.实质性肿瘤手术切除可以根治
备考星球小程序
关注【备考星球】小程序
移动端APP,让学习更便捷
提供搜题、在线问答、章节练习、历年真题
保存二维码图片,打开微信扫一扫
请输入手机号查看答案x

关注【备考星球】微信小程序

移动端 搜题、在线问答、章节练习、历年真题

  点击更换  更换验证码

Copyright © 菜鸟搜题 版权所有   沪ICP备18007868号
搜题网站、搜题软件、题库软件,请推荐菜鸟搜题