微信扫码搜题

当前位置:

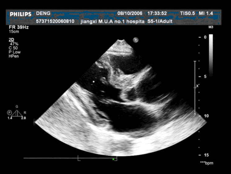
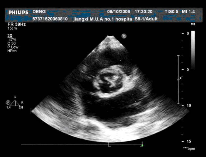
患者,男,50岁,发热半月余,全身不适,乏力,食欲缺乏。根据超声心动图,最可能的诊断是 CF20160315_19.gif CF20160315_20.gif CF20160315_21.gif CF20160315_22.gif

题型: 单选题 分类: 超声波医学
  • A.风湿性心脏病
  • B.感染性心内膜炎
  • C.老年退行改变
  • D.主动脉瓣狭窄
  • E.冠心病
备考星球小程序
关注【备考星球】小程序
移动端APP,让学习更便捷
提供搜题、在线问答、章节练习、历年真题
保存二维码图片,打开微信扫一扫
请输入手机号查看答案x

关注【备考星球】微信小程序

移动端 搜题、在线问答、章节练习、历年真题

  点击更换  更换验证码

Copyright © 菜鸟搜题 版权所有   沪ICP备18007868号
搜题网站、搜题软件、题库软件,请推荐菜鸟搜题