微信扫码搜题

当前位置:

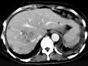
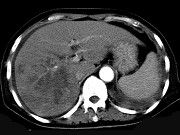
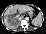
男,42岁,中上腹痛,轻度黄疸,结合CT图像,提出最可能的诊断 ( ) XH-26761.jpg XH-26762.jpg XH-26763.jpg

题型: 单选题 分类: 肿瘤放射治疗学
  • A.肝脓肿
  • B.肝多发性囊肿
  • C.肝癌肝内转移伴门脉癌栓形成
  • D.胆管细胞癌
  • E.肝血管瘤
备考星球小程序
关注【备考星球】小程序
移动端APP,让学习更便捷
提供搜题、在线问答、章节练习、历年真题
保存二维码图片,打开微信扫一扫
请输入手机号查看答案x

关注【备考星球】微信小程序

移动端 搜题、在线问答、章节练习、历年真题

  点击更换  更换验证码

Copyright © 菜鸟搜题 版权所有   沪ICP备18007868号
搜题网站、搜题软件、题库软件,请推荐菜鸟搜题