微信扫码搜题

当前位置:

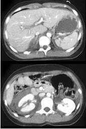
男,32岁,有外伤史,请根据所示图像,选择最可能诊断 ( )

题型: 单选题 分类: 泌尿外科学
  • A、右肾挫伤
  • B、右肾裂伤
  • C、右侧肾上腺外伤性出血
  • D、右肾挫伤合并右侧肾上腺外伤性出血
  • E、右肾裂伤合并右侧肾上腺外伤性出血
备考星球小程序
关注【备考星球】小程序
移动端APP,让学习更便捷
提供搜题、在线问答、章节练习、历年真题
保存二维码图片,打开微信扫一扫
请输入手机号查看答案x

关注【备考星球】微信小程序

移动端 搜题、在线问答、章节练习、历年真题

  点击更换  更换验证码

Copyright © 菜鸟搜题 版权所有   沪ICP备18007868号
搜题网站、搜题软件、题库软件,请推荐菜鸟搜题