微信扫码搜题

当前位置:

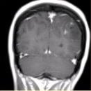
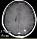
女性,42岁。癫痫1个月,近期加重。无发热,无其他病史。MRI表现如下图。 FSK_MN1_33.gif

题型: 共用材料 分类: 053放射医学技术

有关该病MR表现,描述正确的是

题型: 单选题
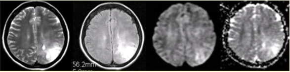
  • A.左侧顶叶不规则形长TXB2.gif信号影,边界清晰
  • B.病变占位效应明显
  • C.DWI和ADC显示病变均呈高信号,提示病变的TXB2.gif效应
  • D.病变邻近蛛网膜下腔增宽
  • E.病变邻近脑膜增厚

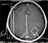
为进一步确诊,MRI增强检查及MRS(Cho升高)结果如下图。可能的诊断为 FSK_MN1_33-2.gif FSK_MN1_33-2-1.gif FSK_MN1_33-2-2.gif

题型: 单选题
  • A.脑脓肿
  • B.转移瘤
  • C.星形细胞瘤
  • D.结核瘤
  • E.脑膜炎

有关星形细胞瘤的MRS,描述正确的是

题型: 单选题
  • A.NAA正常或升高
  • B.Cho升高
  • C.Cho升高的程度与肿瘤的恶性度无关
  • D.病变内无Lac峰
  • E.病变周围水肿区Cho正常
备考星球小程序
关注【备考星球】小程序
移动端APP,让学习更便捷
提供搜题、在线问答、章节练习、历年真题
保存二维码图片,打开微信扫一扫
请输入手机号查看答案x

关注【备考星球】微信小程序

移动端 搜题、在线问答、章节练习、历年真题

  点击更换  更换验证码

Copyright © 菜鸟搜题 版权所有   沪ICP备18007868号
搜题网站、搜题软件、题库软件,请推荐菜鸟搜题