微信扫码搜题

当前位置:

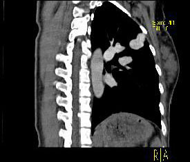
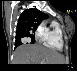
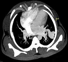
男性,26岁,头晕、气逼三年余,CT检查如图所示,请选择的最可能诊断 ( ) XN-27051.jpg XN-27052.jpg XN-27053.jpg XN-27054.jpg

题型: 单选题 分类: 心血管内科
  • A.海绵状血管瘤
  • B.毛细血管扩张症
  • C.毛细血管瘤
  • D.动静脉畸形
  • E.动脉瘤
备考星球小程序
关注【备考星球】小程序
移动端APP,让学习更便捷
提供搜题、在线问答、章节练习、历年真题
保存二维码图片,打开微信扫一扫
请输入手机号查看答案x

关注【备考星球】微信小程序

移动端 搜题、在线问答、章节练习、历年真题

  点击更换  更换验证码

Copyright © 菜鸟搜题 版权所有   沪ICP备18007868号
搜题网站、搜题软件、题库软件,请推荐菜鸟搜题