微信扫码搜题

当前位置:

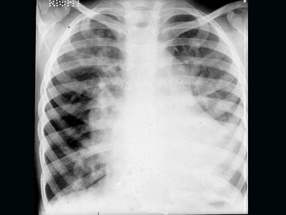
患儿男,4岁,生后反复发生呼吸道感染,发育差,活动后气促,无发绀。听诊胸骨左缘第3肋间可闻及Ⅲ级粗糙的全收缩期杂音,肺动脉第2音显著亢进,X线示如图:肺野明显充血。该患儿最易并发下列哪种疾病 ( ) EK-04859.jpg

题型: 单选题 分类: 小儿内科学
  • A.心肌炎
  • B.支气管肺炎
  • C.脑栓塞
  • D.脑脓肿
  • E.喉返神经麻痹
备考星球小程序
关注【备考星球】小程序
移动端APP,让学习更便捷
提供搜题、在线问答、章节练习、历年真题
保存二维码图片,打开微信扫一扫
请输入手机号查看答案x

关注【备考星球】微信小程序

移动端 搜题、在线问答、章节练习、历年真题

  点击更换  更换验证码

Copyright © 菜鸟搜题 版权所有   沪ICP备18007868号
搜题网站、搜题软件、题库软件,请推荐菜鸟搜题