微信扫码搜题

当前位置:

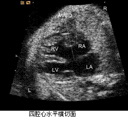
孕妇,36岁,孕2产1孕25周,无特殊病史,实验室检查无明显异常,心脏超声所见如下图。 GJ33_22_29.gifGJ33_22_29_1.gif (L-左侧,R-右侧,LA-左心房,RA-右心房,LV-左心室,RV-右心室,AAO-升主动脉,MPA-主肺动脉,SP-脊柱)

题型: 共用材料 分类: 超声波医学

根据上述声像改变,比较合适的诊断有

题型: 多选题
  • A.完全性心内膜垫缺损
  • B.完全型大动脉转位
  • C.矫正型大动脉转位
  • D.右室双出口
  • E.法洛四联症
  • F.隔离肺

下列描述中,正确的有

题型: 多选题
  • A.四个心腔相互沟通,左右心内血液相互混合
  • B.四个心腔相互沟通,左右心内血液完全不混合
  • C.右心室与主动脉相连,左心室与肺动脉相连
  • D.右心室与肺动脉相连,左心室与主动脉相连
  • E.房室瓣舒张期血流彩色多普勒表现正常,收缩期肯定有反流特征
  • F.房室连接一致,大动脉与心室连接不一致

该胎儿最可能合并的染色体异常是(提示 超声还发现胎儿存在草莓头、重叠指、脐膨出等多发畸形。)

题型: 多选题
  • A.13-三体
  • B.18-三体
  • C.21-三体
  • D.45,XO
  • E.47,XXX
  • F.三倍体
备考星球小程序
关注【备考星球】小程序
移动端APP,让学习更便捷
提供搜题、在线问答、章节练习、历年真题
保存二维码图片,打开微信扫一扫
请输入手机号查看答案x

关注【备考星球】微信小程序

移动端 搜题、在线问答、章节练习、历年真题

  点击更换  更换验证码

Copyright © 菜鸟搜题 版权所有   沪ICP备18007868号
搜题网站、搜题软件、题库软件,请推荐菜鸟搜题