微信扫码搜题

当前位置:

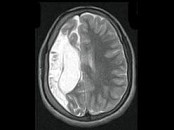
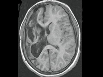
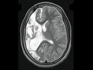
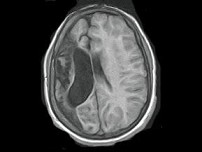
男,35岁,有颅脑外伤史,MRI图像,最可能的诊断是()



题型: 单选题 分类: 放射医学
  • A.脑软化
  • B.脑萎缩
  • C.脑积水
  • D.脑穿通畸形囊肿
  • E.脑实质占位
备考星球小程序
关注【备考星球】小程序
移动端APP,让学习更便捷
提供搜题、在线问答、章节练习、历年真题
保存二维码图片,打开微信扫一扫
请输入手机号查看答案x

关注【备考星球】微信小程序

移动端 搜题、在线问答、章节练习、历年真题

  点击更换  更换验证码

Copyright © 菜鸟搜题 版权所有   沪ICP备18007868号
搜题网站、搜题软件、题库软件,请推荐菜鸟搜题