微信扫码搜题

当前位置:

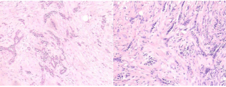
图片显示的乳腺病变是

题型: 单选题 分类: 病理学
  • A.淋巴瘤
  • B.转移癌
  • C.浸润性小叶癌
  • D.硬化性腺病
  • E.浸润性导管癌
备考星球小程序
关注【备考星球】小程序
移动端APP,让学习更便捷
提供搜题、在线问答、章节练习、历年真题
保存二维码图片,打开微信扫一扫
请输入手机号查看答案x

关注【备考星球】微信小程序

移动端 搜题、在线问答、章节练习、历年真题

  点击更换  更换验证码

Copyright © 菜鸟搜题 版权所有   沪ICP备18007868号
搜题网站、搜题软件、题库软件,请推荐菜鸟搜题