微信扫码搜题

当前位置:

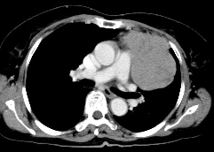
病历摘要:女,56岁。因胸部不适,2月来诊,无发热,无咯血。起病以来体重明显减轻。查体:左胸呼吸音减弱,左上胸扣诊浊音。胸部X线片示“左上肺占位病变”。做胸部CT线检查。
  
1.诊断是什么?
2.诊断依据是什么?
3.鉴别诊断有哪些?

题型: 填空题 分类: 053放射医学技术
备考星球小程序
关注【备考星球】小程序
移动端APP,让学习更便捷
提供搜题、在线问答、章节练习、历年真题
保存二维码图片,打开微信扫一扫
请输入手机号查看答案x

关注【备考星球】微信小程序

移动端 搜题、在线问答、章节练习、历年真题

  点击更换  更换验证码

Copyright © 菜鸟搜题 版权所有   沪ICP备18007868号
搜题网站、搜题软件、题库软件,请推荐菜鸟搜题