微信扫码搜题

当前位置:

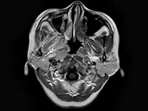
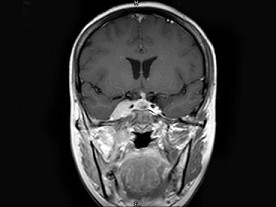
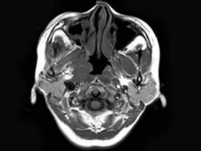
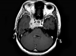
女,34岁。右侧听力下降,耳鸣2个月。MRI平扫及增强扫描如图示,最可能的诊断是 ( ) EBH-00871.jpg EBH-00872.jpg EBH-00873.jpg EBH-00874.jpg

题型: 单选题 分类: 耳鼻喉(头颈外科)学
  • A.未见异常
  • B.动脉瘤
  • C.脑膜瘤
  • D.神经源性肿瘤
  • E.鼻咽癌
备考星球小程序
关注【备考星球】小程序
移动端APP,让学习更便捷
提供搜题、在线问答、章节练习、历年真题
保存二维码图片,打开微信扫一扫
请输入手机号查看答案x

关注【备考星球】微信小程序

移动端 搜题、在线问答、章节练习、历年真题

  点击更换  更换验证码

Copyright © 菜鸟搜题 版权所有   沪ICP备18007868号
搜题网站、搜题软件、题库软件,请推荐菜鸟搜题