微信扫码搜题

当前位置:

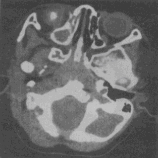
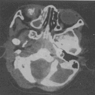
女性,14个月。发现视力低下CT如图所示,最可能的诊断是 YZ332_1_46_17.gif YZ332_1_46_17_1.gif

题型: 单选题 分类: 053放射医学技术
  • A.脉络膜黑色素瘤
  • B.视神经胶质瘤
  • C.海绵状血管瘤
  • D.视网膜母细胞瘤
  • E.眼底出血
备考星球小程序
关注【备考星球】小程序
移动端APP,让学习更便捷
提供搜题、在线问答、章节练习、历年真题
保存二维码图片,打开微信扫一扫
请输入手机号查看答案x

关注【备考星球】微信小程序

移动端 搜题、在线问答、章节练习、历年真题

  点击更换  更换验证码

Copyright © 菜鸟搜题 版权所有   沪ICP备18007868号
搜题网站、搜题软件、题库软件,请推荐菜鸟搜题